上午和下午做什么代表什么?
18新利最新登入命理学如何运作
12月16日文/ Tracy V. Wilson
物理学家们用一个没有水的小便池引起了轰动
12月16日凯特·摩根
18新利最新登入一架国际飞机一次旅行要消耗多少燃料?
12月16日塔隆·荷马
解开围绕肾上腺素的阴谋论
弯曲曲:有着有趣名字的蛇形墙
乳香和没药是什么?
一品红:在黑暗中盛开的墨西哥圣诞花
广告
你能解开这个谜语吗?
玩我们的填字游戏!
闰秒的时间到了
12月14日作者:劳里·l·德芙
美国宇航局的新任务将从太空研究地球地表水
12月14日帕特里克·j·基格著
美国科学家在核聚变方面取得突破。这意味着什么?
12月14日卡罗琳·库兰兹著
白宫官方的圣诞装饰品是一个40年的传统
12月12日作者:Alia Hoyt
激光揭示了为什么冲水前需要盖上盖子
12月8日约翰·克里马尔迪著
法国法棍面包被联合国教科文组织列为世界遗产
12月6日帕蒂·拉斯穆森著
为什么收礼物的人都喜欢草率的包装
莫纳罗亚火山的熔岩来自哪里?
18新利最新登入海洋有多深?
有什么简单的方法将摄氏度温度转换为华氏温度?
塔罗牌:最吓人的塔罗牌
为什么电叉上有洞?
18新利最新登入如何观看壮观的双子座流星雨
伦敦桥从来没有倒过,但它一直在重建
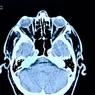
我们的大脑有“指纹”——我们可以快速找到它们
坏天气真的意味着更严重的关节痛吗?
10种类型的学习偏倚
八福是什么?它们是什么意思?
玛丽·爱德华兹·沃克:内战时期的外科医生和唯一的女性荣誉勋章获得者
为什么特勤局要保护总统的成年子女?
18新利最新登入天主教会如何决定什么是“奇迹”
18新利最新登入如何查看和删除您的谷歌历史记录
跑,跳和爬你的方式通过我们的Roblox测试
18新利最新登入《俄罗斯方块》是如何从苏联智力游戏变成热门游戏的
电话号码中的数字是什么意思?
南佛罗里达绿鬣蜥泛滥
鸟类沿着古老的路线迁徙,现代技术现在可以追踪它们
世界上最大的狗是什么?
想知道蛇是如何交配的吗?18新利最新登入
这个神圣的采石场是美国土著精神的基石
5本好得令人难以置信的回忆录
18新利最新登入一次性暖手器是如何工作的?
安全运送节日饼干的4个步骤
每个人都喜欢得到节日饼干。但是没有人喜欢吃饼干屑。那么,18新利最新登入你要如何运送饼干才不会碎呢?
用一杯上好的热啤酒来传播节日的欢乐
18新利最新登入拐杖糖如何成为圣诞节的甜点
越过特ducken。圣诞总动员来了
杏仁软糖是这个节日你需要的甜食
现在几点了?世界上最精确的时钟时间到了!
美国宇航局科学精确地设定发射时间
美国应该推行永久日光节约时间吗?
美国宇航局正在向外太空发射原子钟
18新利最新登入劳力士如何统治手腕
劳力士的名字是奢侈和酷的代名词。但这家手18新利最新登入表公司是如何成为世界上最著名的品牌之一的呢?
18新利最新登入伊丽莎白女王到底有多少权力?
女王伊丽莎白二世是一位受人爱戴的人物,她小心翼翼地不逾越传统的界限。18新利最新登入在她历史性的统治期间,她真正掌握了多少权力?
亚伦·贾奇打破美国联盟本垒打纪录
如何赢得词汇的策略18新利最新登入
捕鼠总管拉里猫现在为他的第五任英国首相服务
Ketanji Brown Jackson被确认为最高法院大法官